Photoreceptors

How we see

In healthy vision, light enters the eye through the cornea, which is the clear, rounded covering at the front of the eye. Light passes through the lens, which focuses the light onto the retina, the light-sensing tissue at the back of the eye. In the retina, photoreceptors absorb the light. This initiates a series of events that results in a signal sent to the brain, through the optic nerve. The brain processes the signals it receives from the eye, resulting in images and the detection of motion.

In MacTel type 2, fine vision degenerates as photoreceptors gradually die in the center of the retina, a region known as the macula. The macula is the region around, and including, the fovea, which is where the lens focuses the majority of incoming light. Loss of photoreceptors in this area can greatly impact a person’s quality of life.

More about photoreceptors

Photoreceptors are specialized cells that detect the intensity and wavelength of incoming light. They include rods and cones. Rods are very sensitive to low levels of light, they can detect a single photon. Because of this, rods are important for night vision. However, rods provide only low-resolution vision.

Cones are used for high resolution vision in brighter light. They are also responsible for color vision. Because of their high resolution, cones are required for tasks like reading and driving. Cones are concentrated in center of the eye, in the same area that is affected by MacTel.

A new understanding of photoreceptor loss in MacTel

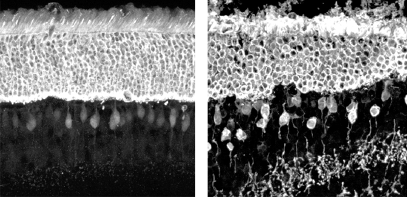
Researchers affiliated with the Lowy Medical Research Institute have made important, and surprising, discoveries about photoreceptors in the MacTel eye. While it was once thought that the photoreceptors in the “MacTel zone” died, there is new evidence that this is not necessarily the case. Photoreceptor cell bodies remain intact, and, furthermore, some cells in the MacTel lesion retain the ability to detect light. These discoveries were made through the use of an advanced imaging technique called adaptive optics, in the laboratories of Austin Roorda and Joseph Carroll.

The Lowy Medical Research Institute is also investigating therapies that can preserve photoreceptor cells in the MacTel eye. A clinical trial currently underway tests the efficacy of a neuroprotectant, ciliary neurotrophic factor (CNTF), at preventing vision loss. Scientists continue to look for other approaches that will result in photoreceptor protection.

Healthy (left) and degenerating (right) photoreceptors


 

Investigators:

Martin Friedlander, MD, PhD

President, Lowy Medical Research Institute
Professor; Department of Cell and Molecular Biology
The Scripps Research Institute

Read more

Marcus Fruttiger, PhD

Professor
University College London Institute of Ophthalmology

Read more

Mark Gillies, MD, PhD

Professor
University of Sydney, Save Sight Institute

Read more

Laboratory Research

The Lowy Medical Research Institute supports a world-class laboratory research program devoted to the study of macular telangiectasia type 2. Learn more about our interdisciplinary research program.